
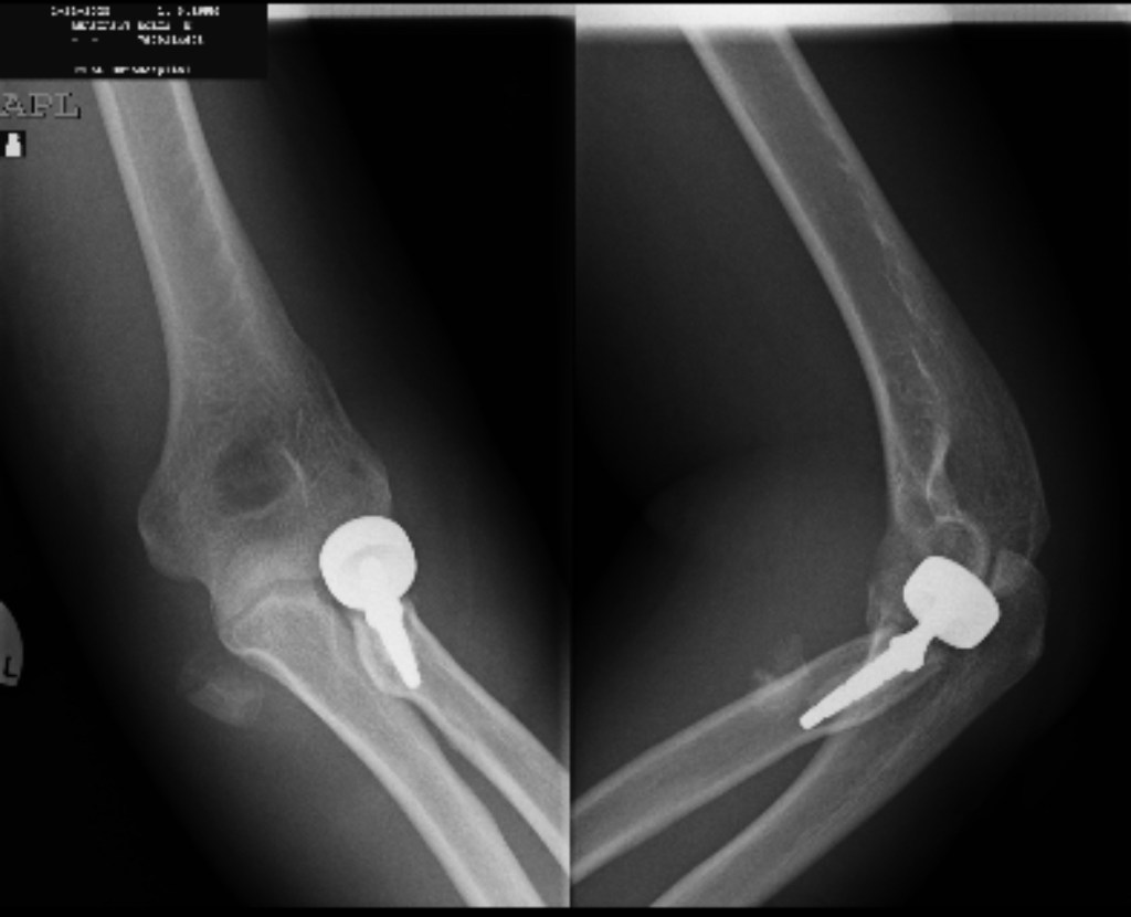
За първи път в Пловдив се извърши операция по частична артропластика на лакътна става след фрактура и луксация на ставата. Операцията бе извършена в отделението „Ортопедия и травматология“ на УМБАЛ „Еврохоспитал Пловдив“.
Частичната артропластика представлява изкуствена протеза, заменяща нефункционалната и проблемна част от лакътната става. Уникалността на операцията се състои в това, че се заменя проксималния край на лакътната кост, отговарящ за фините движения на предмишницата.
Пациентът е мъж, на 50 години, адвокат по професия. Три дни след операцията започва физиотерапия и активно раздвижване на лакътната става. Пълното възстановяване без болка се очаква след 45 дни.


Дискусия
Няма коментари.